今まで見えなかったことが分かる画像診断 CTを利用した治療
CTの歯科治療における役割
従来のX線写真は二次元的な平面での診断しかできませんが、歯科用CTでは三次元の立体画像でのレベルに変わるので、より多くの情報が得られます。
歯科用CTは下記のように歯科治療において大きな役割を果たしています。
- 見えなかったものが見える
- 一般のレントゲンで見えなかった部分が容易に確認できるようになります。
- 分からなかったことが分かる
- さまざまな部位の形態や病巣などを立体的に観察できます。
- 治療の安全性が上がる
- インプラント治療だけでなく、歯周病治療や根管治療(根の治療)、親知らずの抜歯など、幅広く歯科治療に応用することができ、正確な診査・診断により、治療の確実性・安全性を高めます。
CTを利用した治療の実際
親知らず抜歯とCT
下顎の親知らずは横を向いて埋まっていることが多く、その抜歯には手術が必要なことが少なくありません。歯ぐきを切開し、顎の骨を削り、歯を分割して取り出さなければならないのです。しかも、その親知らずの根の先に太い神経(下顎管・下歯槽神経)が位置することもあり、細心の注意をはらう必要があります。あらかじめCTを撮影し、親知らずの根の形やその弯曲、神経との位置関係などを把握することが可能になります。

歯周病治療とCT
歯周病が進行すると歯を支えている骨が溶けてしまいます。歯石を取る歯周基本治療や手術を行う歯周外科処置を行う上で、CT撮影により顎骨の形態を三次元的に把握することは非常に有益です。特に中等度から重度の歯周病患者さんの場合には、治療のアプローチを考える上でとても役立ちます。

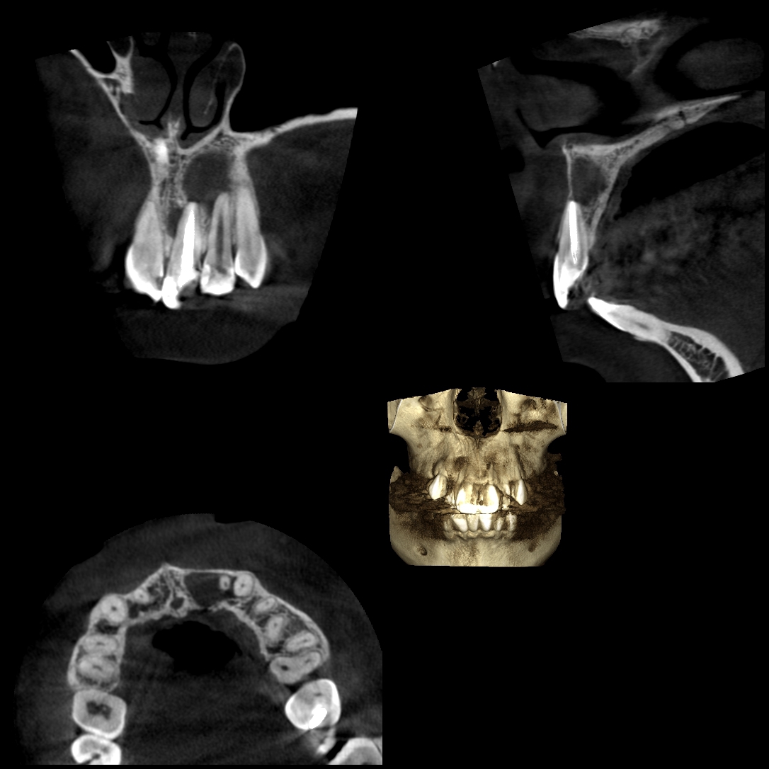
根管治療とCT
根管治療とは、歯の神経を取ったり、根の中をお掃除する治療です。CT画像では、根の本数や神経の入っている管の方向・位置がわかります。また、根の先端にある病巣の確認・位置・大きさを立体的に確認することができ、治療後の治り具合などをかなり正確に把握することができます。

インプラントとCT
インプラント治療に必要なことは、顎の骨の状態(質や厚み、高さ、形態など)を把握することです。CT画像からは顎の骨の内部構造(骨の高さ、厚み、神経・血管の位置)を立体的に確認することができ、より正確な診断が可能となりました。術前のシュミレーションを行うことで、より安全・確実にインプラントを埋入することができます。
オリエント歯科では、インプラント手術前に必ずCT撮影を行っております。

矯正治療とCT
CT撮影により顎骨内の状態が分かるので、これから萌える歯の位置や形状が分かります。
外傷とCT
CTにより骨折の状態や歯の破折・脱臼などが明確にわかります。
CTに関するご質問
- Q:他の病院に行かなくてはいけないですか?待ち時間や料金が不安です。
- A:撮影のために総合病院など他の医療機関に行く必要はありません。撮影時間はわずか十数秒です。症状に応じて保険診療または自由診療になりますので、きちんと丁寧にご説明いたします。
- Q:なぜ、CT撮影をする必要があるのだろう…本当に必要なのですか?
- A:CT撮影による3次元の画像では、様々な角度から症状を診ることができるようになります。これまでは奥行きのわからない平面の画像で診断していましたが、CTの立体的な診断情報でより安心な治療を行うことができます。わずかですが被曝をすることになりますので、そのメリット・デメリットをご説明しながら相談させてもらえると幸いです。
- Q:CT撮影は、被曝線量が高いと聞いた。大丈夫ですか?
- A:当医院で導入しているCTは、新しいテクノロジーで低被曝による撮影を実現した歯科用のCT撮影装置です。症例によって異なりますが、医科用のCT撮影と比較して10分の1以下の実効線量で撮影できます。
9:00~12:30 13:30~18:00
(木曜日13:30~14:30はスタッフミーティングを行っています)
9:00~12:00
※ 休診 日曜・祝日
011-746-3155