初めてお越しいただく方へ
初診時の流れについて
オリエント歯科では初めていらっしゃった患者さんに対して、しっかりお話しをうかがい、状態を把握し説明した上で診療に入ります。
(総入れ歯の方や、痛みが非常に強い方、妊娠されている方、小さなお子様の場合は適宜割愛する項目もあります)
① 問診票の記入
来院していただき、診察の前に問診票のご記入をお願いしています。この際に普段飲まれているお薬がある方はお薬手帳もご持参下さい。
② 医療面接
症状等についてお聞きします。患者さんの希望や不安な気持ちなどを伺い治療前にお口に関するお悩みを把握することに努めます。
③ お口の状態確認と歯周検査
お口の中の現状を把握した後、歯周病の検査を行います。
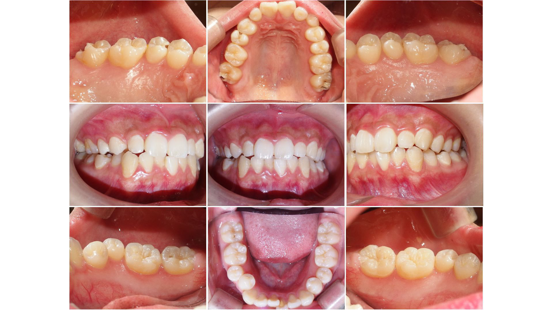
④ お口の中の写真撮影
患者さんの現在の状態をご説明するために、一眼レフカメラを用いてお口の中の写真を撮影いたします。撮影した写真を使うことによって、より治療がイメージしやすくなります。また、この写真はずっと保存していきますので、将来的な変化があった場合にも比較ができます。
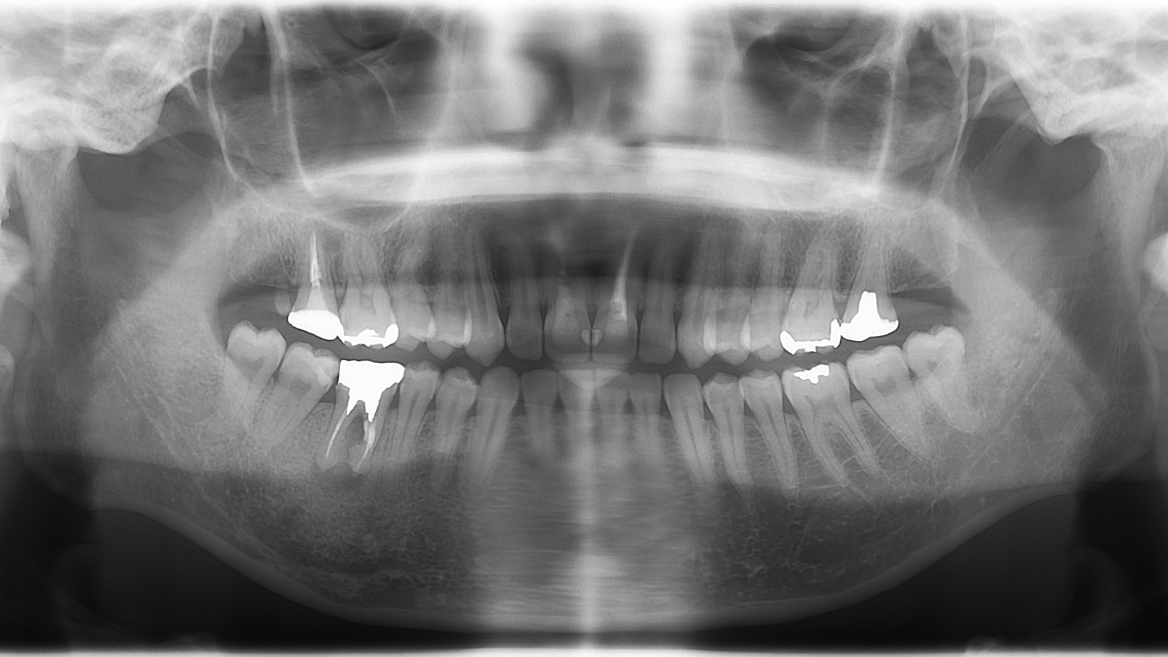
⑤ レントゲン写真の撮影
現状の歯と骨の状態を把握した上で、より的確な治療方針をたてるために当院ではレントゲン撮影を致します。お口の中の問題をより広く的確に調べるため、パノラマレントゲンというお口全体が写るレントゲン写真の撮影を勧めることもあります。デジタル化されておりますので被ばくも最低限で安心です。
⑥ 現状と治療計画についてのご説明
上記のような検査により得られた診断結果に基づいて立てられた治療計画について説明いたします。症状がある場合はその部位に関する応急処置を行い、おおよそ1時間ほどで初診時の診察は終了します。
オリエント歯科の特徴として…
オリエント歯科ではご自身の現在の状態を正しく理解していただくため、初診時にはお口の中の写真やレントゲン写真を撮らせていただいたき、それらを元になるべく分かりやすくご説明するように心がけております。細かな説明などお求めにならない方は、もしかするとご面倒に感じられるかもしれません。
「痛いところだけ」「外れたところだけ」「とりあえず作り直して」という治療では、その背後にある問題点(例えばかみ合わせの問題であったり、歯ぐきがよくなかったり、悪い癖があったりなど)を考慮しない、行き当たりばったりのその場しのぎの治療になりがちです。このような治療をしないために、患者さんのお口全体を見渡した治療を行う必要もあるのです。
治療方針につきましては、ご本人さまにも共に考えていただき、ご相談をして決めたいと考えます。もちろん、無理に治療をお勧めすることはありませんので、ご安心ください。
オリエント歯科を初めて受診される方はこちらもご覧ください
orient(動詞) ①東向きにする ②正しい方向に置く ③方向づける
「オリエント」はラテン語「昇りつつある(太陽)」を語源とし、原点を決め正しい方向に進むという意味を持ちます。オリエンテーションってありますよね。
皆さまお一人おひとりの現在の口の中の情報を正しくお伝えし、共に治療のゴールを考え、私たちチームと患者さんの二人三脚で治療を進めていきたいという想いを込めています。そして、さらにその先へ共に歩んで行きたいと考えているのです。
9:00~12:30 13:30~18:00
(木曜日13:30~14:30はスタッフミーティングを行っています)
9:00~12:00
※ 休診 日曜・祝日
011-746-3155
