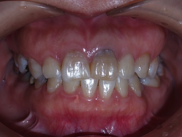
神経を取った歯が変色してくるのはなぜ?
むし歯の治療で神経を取ったり、歯を強くぶつけてしまい神経が死んでしまったりすると、徐々に歯の色が黒ずんでくることがあります。このに黒くなってしまうのは、死んでしまった神経が残ってしまうことで起こります。神経が壊れたものと血液中の鉄分が歯の内部に入り込み、それが変性して色が黒くなってくるのです。神経を取る治療を行っても、血液の成分が歯の中に入り込んでしまったり、歯を構成する成分(コラーゲン)が劣化して変色してしまいます。
神経のない歯では中から変色してしまうため、通常の歯の表面から行う通常のホワイトニングはあまり効かないということになります。
9:00~12:30 13:30~18:00
(木曜日13:30~14:30はスタッフミーティングを行っています)
9:00~12:00
※ 休診 日曜・祝日
011-746-3155
